Nieleczone zęby niszczą cały organizmChoroby przyzębia to przewlekły stan zapalny tkanek otaczających ząb, czyli  dziąseł, ozębnej, cementu i kości wyrostka zębodołowego. Nieleczone choroby przyzębia mogą powodować wiele chorób, czasami zaskakujących.

 

Na przyzębie składają się dziąsła, ozębna, okostna, cement korzeniowy oraz kość wyrostka zębodołowego. Choroby przyzębia mają wpływ na cały organizm, dlatego chodząc do dentysty nie dbamy wyłącznie o stan naszej jamy ustnej.

Coraz powszechniej mówi się, że nieleczone zęby powodują choroby takie jak miażdżyca naczyń krwionośnych, zawał serca czy udar mózgu. W znacznym stopniu mogą one jednak powodować też choroby reumatyczne, uszkodzenie nerek bądź astmę. Powodują też nasilanie się cukrzycy oraz niektórych alergii.

Bardzo groźne są w ciąży. Choroby zębów mogą doprowadzić nawet do przedwczesnego porodu oraz niskiej masy urodzeniowej dziecka!

Mogą odpowiadać nawet za nadciśnienie, choroby układu ruchu i problemy z kręgosłupem, zakażenia odogniskowe, stany zapalne uszu, oczu lub zatok, zapalenia opon mózgowych, sepsa, nowotwory, alergie, zapalenia nerek, choroby układu pokarmowego, zaburzenia w strefie emocjonalnej.

Czemu tak się dzieje? Choroby przyzębia wywołują odpowiedź zapalną całego organizmu.

Jak temu zapobiec? Naturalnie najważniejsza i najskuteczniejsza jest profilaktyka. Codzienna odpowiednia higiena jamy ustnej czyli mycie zębów, ale także stosowanie nici dentystycznych i płynów dentystycznych, ale także regularne wizyty u stomatologa.

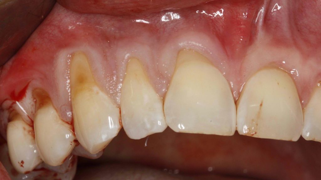
– Bardzo istotne jest regularne, co najmniej raz w roku, usuwanie kamienia nazębnego – wykonanie tzw. skalingu w gabinecie, który jest profesjonalnym zabiegiem zapobiegającym chorobom przyzębia, które w jamie ustnej objawiają się obrzękami i krwawieniem dziąseł, ale też ruchomością zębów – mówi lek. dent. Kamila Kruk z gabinetu Stomatologia Królewska 24. – W wyniku tych chorób przyzębia pacjenci tracą swoje zęby, a choroby wymienione wyżej mogą nasilać te procesy.

Opinie

    Zarejestruj się online!
    Administratorem podanych przez Panią/Pana danych osobowych w powyższym formularzu jest Kamila Kruk prowadząca działalność gospodarczą pod nazwą Gabinet Stomatologiczny Kamila Kruk z siedzibą w Konstancinie Jeziorna przy ul. Królewskiej 24, 05-520 Konstancin Jeziorna. Szczegółowe informacje o przetwarzaniu danych osobowych znajdują się w „Polityce prywatności”.

    Sprawdź naszą lokalizację

    ul. Królewska 24
    05-520 Konstancin-Jeziorna

    (Wejście oraz parking dla pacjentów jest od strony ul. Mirkowskiej)

    „Europejski Fundusz Rolny na rzecz Rozwoju Obszarów Wiejskich: Europa Inwestująca w Obszary Wiejskie”. Operacja pn. „Nowe, innowacyjne i prozdrowotne rozwiązania sprzyjające podnoszeniu kompetencji zawodowych, zastosowane w Gabinecie Stomatologicznym Kamila Kruk”, mająca na celu rozwijanie firmy w zakresie usług stomatologicznych sprzyjających promowaniu lokalnych produktów rolnych poprzez zakup wyposażenia oraz utworzenie jednego miejsca pracy współfinansowana jest ze środków Unii Europejskiej w ramach działania 19.2 „Wsparcie na wdrażanie operacji w ramach strategii rozwoju lokalnego, kierowanego przez społeczność Programu Rozwoju Obszarów Wiejskich na lata 2014-2020.
    Umów wizytę
    Królewska24
    Przegląd prywatności

    Ta strona korzysta z ciasteczek, aby zapewnić Ci najlepszą możliwą obsługę. Informacje o ciasteczkach są przechowywane w przeglądarce i wykonują funkcje takie jak rozpoznawanie Cię po powrocie na naszą stronę internetową i pomaganie naszemu zespołowi w zrozumieniu, które sekcje witryny są dla Ciebie najbardziej interesujące i przydatne.