
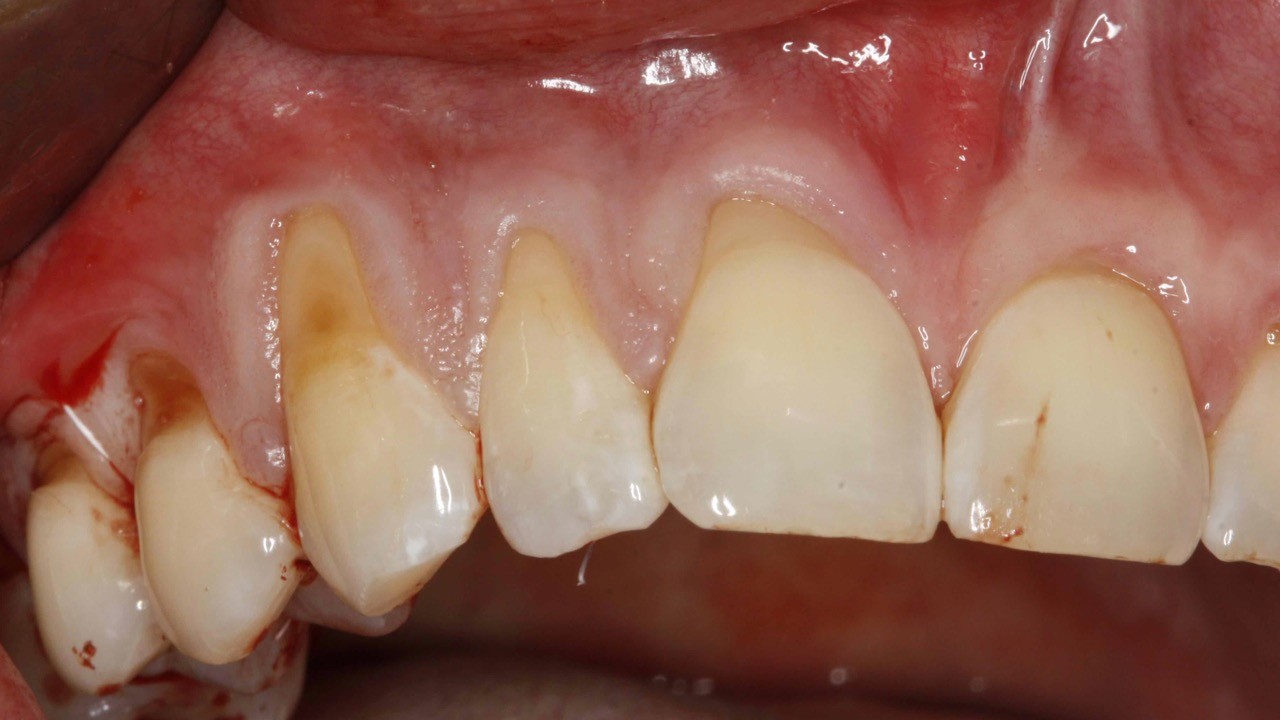
Choroby przyzębia to przewlekły stan zapalny tkanek otaczających ząb, czyli dziąseł, ozębnej, cementu i kości wyrostka zębodołowego. Nieleczone choroby przyzębia mogą powodować wiele chorób, czasami zaskakujących. Na przyzębie składają się dziąsła, ozębna, okostna, cement korzeniowy oraz kość wyrostka zębodołowego. Choroby przyzębia mają wpływ na cały organizm,...
Odkładająca się na powierzchni zębów płytka nazębna jest punktem wyjścia do rozwoju próchnicy, zapalenia dziąseł, odkładania się kamienia. Przestrzenie międzyzębowe, w których ona zalega są miejscami trudno dostępnymi w czasie tradycyjnego szczotkowania. I właśnie do oczyszczania tych powierzchni służy nitka dentystyczna. Można ją stosować już...
Licówki to sposób na wyeliminowanie estetycznych niedoskonałości zębów. Możemy za ich pomocą zmienić kolor zębów, wyregulować ich kształt, ustalić odpowiednią długość oraz odbudować ich brakujące fragmenty. Są to bardzo cienkie płytki, najczęściej porcelanowe lub kompozytowe, mocowane na wargowej, tzw licowej, stronie zębów, za pomocą specjalnego cementu. W gabinetach...
Implanty to dziedzina stomatologii polegająca na uzupełnianiu braków zębowych. Implanty to w zasadzie najnowocześniejsze oraz najbardziej komfortowe dla pacjenta uzupełnienie protetyczne. To tytanowe elementy, dokładniej śruby, wszczepiane w kość szczęki lub żuchwy. Zastępują one korzeń zęba i stanowią podporę dla pojedynczych koron lub mostów. Tytan, z którego...
Nowoczesna endodoncja dysponuje narzędziami kanałowymi, które cechują się wysoką elastycznością i wytrzymałością materiałów, z których są wykonane. Jednak zdarza się, że może dojść do ich samoistnego złamania w trakcie leczenia kanałowego. Może mieć to miejsce w przypadku trudnej anatomii zęba - kanałów cienkich, zakrzywionych lub...



